Services
Our office provides a full range of services including:
Dental PPO insurance accepted
Cosmetics & Esthetic solutions
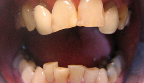
Before

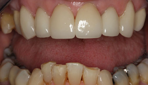
After

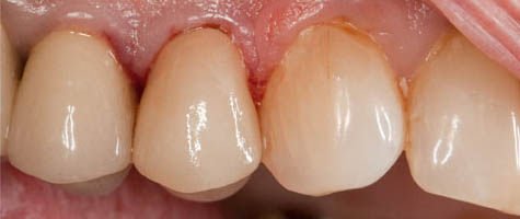
Crowns & Bridges
Before

After

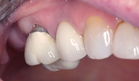
Before

After

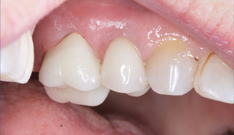
Before

After

Implant Restorations
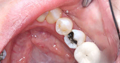
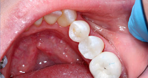
Metal-free Filings
Before

After

Oral Hygiene & Preventive
Before

After
